
L’endodonzia conservativa è una branca dell’odontoiatria focalizzata sul trattamento delle patologie della polpa dentale e dei tessuti periradicolari. Comunemente nota come “cura canalare” o “devitalizzazione”, questa procedura viene eseguita quando la polpa del dente, la parte interna contenente nervi e vasi sanguigni, è infiammata o infetta. L’obiettivo dell’endodonzia conservativa è rimuovere la polpa danneggiata, pulire e disinfettare l’interno del dente e, infine, riempirlo e sigillarlo. Questo trattamento permette di conservare il dente nella sua posizione naturale, evitando estrazioni e garantendo funzionalità e estetica. Affidarsi a specialisti in endodonzia assicura procedure accurate e risultati duraturi, salvaguardando la salute del cavo orale.
 
															 
															Trattamenti canalari a Milano
Se il dente è vitale ed è possibile curarlo con sicurezza, solidità e stabilità nel tempo, si possono effettuare trattamenti come:
- Otturazioni
- Intarsi diretti o indiretti
- Corone dentali.
Quando si parla di conservativa dentale lo dice il nome stesso, si cerca di conservare e di salvare il dente che è affetto da carie, fratture semplici o otturazioni ormai vecchie ed infiltrate da carie.
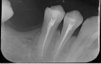
Se il dente è dolente è possibile effettuare un trattamento canalare, definita anche devitalizzazione, un trattamento che rende totalmente asintomatico l’elemento dentale. Successivamente è sempre possibile effettuare una otturazione, ricostruzione o corona.
Anche denti già devitalizzati non curati correttamente e che presentano delle lesioni periapicali (granulomi) si possono recuperare con idonee terapie canalari definiti ritrattamenti dentali.
La scelta se recuperare e ripristinare un dente è una scelta che richiede una corretta e attenta valutazione da parte del dentista.
Molti colleghi infatti preferiscono sostituire il dente con un impianto, scelta che se il dente è recuperabile è fortemente sconsigliata e deontologicamente poco corretta.
Anche gli impianti infatti non sono eterni. La perfezione che appartiene alla natura e al nostro corpo non è sempre facilmente ripristinabile.
Quando invece ci troviamo di fronte a scelte importanti che riguardano magari la totalità della bocca ecco l’importanza di avere esperienza, capacità e lungimiranza per ottenere una terapia adeguata per garantire successo a lungo termine.
Nel nostro studio dentistico di Milano diamo molta importanza e cura nella scelta del piano terapeutico più adatto per ogni paziente.
Servizi offerti nello studio dentistico di Milano
Benvenuti alla sezione Servizi dello Studio Dentistico Dott. Gorla. Offriamo una vasta gamma di trattamenti odontoiatrici di alta qualità.
Faccette dentali

Le faccette dentali sono utilizzate in odontoiatria per migliorare il proprio sorriso
Ortodonzia

Applicazione di apparecchi sia mobili che fissi al fine di riallineare i denti









 
				            				         
                    




