Evita interventi invasivi
Di fronte alla perdita dei molari superiori e alla ridotta quantità ossea a causa dei seni paranasali, la tecnica del rialzo di seno mascellare offre una soluzione efficace. Questa tecnica di rigenerazione ossea permette di evitare interventi più invasivi come protesi mobili o ponti, preservando così gli elementi dentari circostanti.
La Soluzione per la Perdita dei Molari Superiori
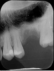
La perdita dei molari superiori lascia in nella maggior parte dei casi una quantità ossea molto ridotta per l’estensione dei seni paranasali (cavità appartenenti al sistema aereo nasale, atte al riscaldamento dell’aria inalata), tale da non permettere l’inserimento impiantare nel modo classico.
Al fine di riabilitare l’elemento dentale perso evitando soluzioni più invasive come protesi mobili o ponti che vanno ad intaccare gli elementi attigui alla perdita dentale è possibile effettuare il posizionamento di un impianto mediante una tecnica di rigenerazione ossea chiamata rialzo di seno mascellare.
Le tecniche di rialzo possibili sono le seguenti
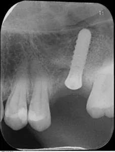
–il grande rialzo di seno: permette, in casi in cui l’osso residuo è estremamente ridotto, di ottenere grazie all’inserimento di una maggior quantità di osso sintetico la neoformazione di osso naturale in tempi che variano dagli 8 ai 12 mesi.
–l’approccio crestale che permette l’inserimento immediato dell’impianto con contestuale inserimento di osso sintetico. Questi sono i casi di presenza ossea residua di almeno 4 mm. (tempi di guarigione e di carico variano dai 4 ai 6 mesi)
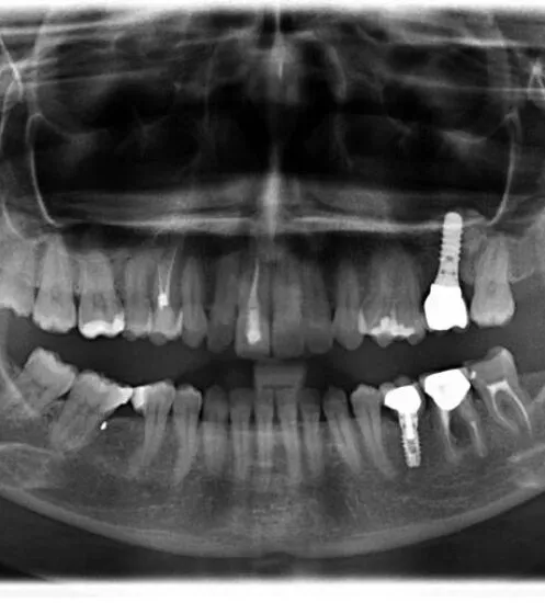
La scelta deve comunque essere effettuata in base al caso clinico, dopo aver effettuato gli esami radiografici necessari (OPT e/o TAC) e alle condizioni di salute del paziente.
Nel nostro studio dentistico si eseguono rialzi di seno mascellare in grande sicurezza e con profonda conoscenza delle realtà anatomiche e procedurali, vengono utilizzate tecniche molto avanzate e con strumenti di primo ordine tra cui la tecnica piezoelettrica e la pianificazione TAC.
Servizi offerti nello studio dentistico di Milano
Benvenuti alla sezione Servizi dello Studio Dentistico Dott. Gorla. Offriamo una vasta gamma di trattamenti odontoiatrici di alta qualità.
Faccette dentali

Le faccette dentali sono utilizzate in odontoiatria per migliorare il proprio sorriso
Ortodonzia

Applicazione di apparecchi sia mobili che fissi al fine di riallineare i denti














